我公司出售高质量的氨基酸液、氨基酸原粉、氨基酸微量元素、eddha铁、螯合铁等并支持肥料产品的定制,欢迎来电,免费索取样品!

  • 公司地址
    中国,四川,成都
  • 联系电话
    18681783931

氨基酸可以加氯化钾吗(专家说:关于肠梗阻的14个问题)

姘ㄥ熀閰稿彲浠ュ姞姘寲閽惧悧

鑲犳闃昏绱т笉

1锛庤偁姊楅樆鍙戠敓鍚庝负浠€涔堣浣忛櫌娌荤枟锛?/strong>

涓撳璇达細鍏充簬鑲犳闃荤殑14涓棶棰? onerror=

鑲犳闃诲彂鐢熷悗寤鸿瑕佷綇闄㈡不鐤楋紝濡備笉姝h鎴栨嫋寤舵不鐤楋紝鍙兘杈冭交鐨勮偁姊楅樆浼氬彂灞曟垚涓鸿偁鑵旀墿寮犮€佽偁娑插ぇ閲忕Н鑱氥€佺户鍙戞劅鏌撱€佽偁缁炵獎銆佽偁绌垮瓟绛変弗閲嶅苟鍙戠棁锛屽嵄鍙婄敓鍛姐€傚弽澶嶅彂浣滅殑鑲犵矘杩炴闃伙紝鏈夌粡楠岀殑鎮h€呰嚜宸遍€氳繃绂侀銆佸崸搴婁紤鎭€佹帓渚跨瓑鎺柦鍚庤嚜鐒跺ソ杞椂鍙笉浣忛櫌锛屼絾鐥呮儏鍔犻噸鏃惰闅忔椂浣忛櫌娌荤枟銆?/p>

2锛庤偁姊楅樆鍙戠敓鍚庝负浠€涔堜笉鑳藉悆涓滆タ锛?/strong>

鑲犳闃诲悗杩涢鍜岄ギ姘翠細澧炲姞鑲犳闃昏繎绔儍鑲犲唴鍘嬨€佸悶涓嬫皵浣撱€侀鐗╁彂閰典骇鐢熸皵浣擄紝鍔犻噸鑵圭棝鍜岃吂鑳€锛屽姞閲嶈偁姊楅樆銆傚洜姝わ紝涓€鏃﹁偁姊楅樆鍙戠敓锛屾棤璁哄湪瀹惰繕鏄湪鍖婚櫌锛岄瑕佺殑娌荤枟鎺柦鏄珛鍗冲仠姝㈣繘椋熷拰楗按銆傚綋鍢村反骞茶鏃跺彲鐢ㄦ疆婀跨殑妫夌鎴栫罕甯冩箍娑﹀彛鍞囧拰鍙h厰銆?/p>

3锛庝负浠€涔堣浠庨蓟鑵斿唴鏀句竴鏍圭瀛愶紵

涓撳璇达細鍏充簬鑲犳闃荤殑14涓棶棰? onerror=

缁忎竴渚ч蓟瀛旀斁涓€鏍圭瀛愬埌鑳冭厰锛屽皢鑳冮噷鐨勬恫浣撳拰姘斾綋寮曟祦鍑烘潵锛岃繖涓繃绋嬪彨鑳冭偁鍑忓帇鏈紝鑳芥槑鏄炬湁鏁堝噺杞昏吂鐥涘拰鑵硅儉锛屼績杩涜偁姊楅樆鏃╂棩閫氱晠锛屽彲璋撴槸鈥滄晳鍛界鈥濄€傝交搴﹁吂鐥涖€佸憰鍚愪笉鏄庢樉鏃跺彲浠ヤ笉鏀撅紝鍙戠梾鏃惰吂鐥涘憰鍚愭槑鏄撅紝瓒婃棭鏀剧疆鏁堟灉瓒婂ソ銆傝儍绠$疆鍏ュ悗浼氬紩璧烽蓟鍜介儴涓嶉€傦紝涓€鑸?-3澶╁悗灏辫兘閫傚簲銆傚綋鑵圭棝鑵硅儉濂借浆銆佽倹闂ㄦ帓姘斻€佽吂骞崇墖姘旀恫骞虫秷澶卞悗锛屽嵆鍙幓闄よ儍鑲犲噺鍘嬬銆?/p>

4锛庝负浠€涔堝紩娴佺澶勮繕瑕佸姞涓€涓礋鍘嬭缃紵

褰撹吂鐥涜儉杈冭交鏃讹紝鑳冭偁鍑忓帇绠″彲鎺ヤ竴涓紩娴佽寮曟祦灏卞彲浠ヤ簡锛屼絾鑲犳闃昏緝閲嶏紝鎶ゅ+浼氬皢鑳冪鎺ュ叆涓€涓嚜褰紡璐熷帇鍚稿紩鐞冿紝浠ュ鍔犺礋鍘嬪紩娴佺殑鏁堟灉銆傛敞鎰忓綋璐熷帇鐞冨帇鍒板簳璐熷帇澶ぇ鏃讹紝寮曟祦绠′細鍚镐綇鑳冨榛忚啘锛屽弽鑰屼細褰卞搷鍚稿紩鏁堟灉涓嶅ソ锛屽鏋滃皢鑷江寮忚礋鍘嬬悆鍘嬪埌涓€鍗婃椂杩涜鍚稿紩鐨勬晥鏋滃垯鏈€濂姐€傝浣忓姣忔鍚告弧鍊掓帀鐨勮儍娑茶杩涜璁伴噺銆?/p>

5锛庤偁姊楅樆鍙戠敓鍚庤兘涓嶈兘娲诲姩锛?/strong>

鑲犳闃诲彂浣滄湡搴斿崸搴婁紤鎭紝鍙互鍦ㄥ簥涓婄炕韬€佷晶鍗с€佺幆鑵跨瓑娲诲姩锛屽鎵捐兘缂撹В鑵圭棝銆佽吂鑳€銆佽鍙戣倹闂ㄦ帓姘旂殑浣撲綅銆傚綋鑵圭棝鑵硅儉绋嶆湁缂撹В銆佺梾鎯呮湁鎵€绋冲畾鏃讹紝鍙笅搴婂湪瀹ゅ唴搴婅竟娲诲姩銆?/p>

6锛庤偁姊楅樆鍙戠敓鍚庝负浠€涔堣鐏岃偁娓呰偁锛?/strong>

鑲犳闃诲彂鐢熷悗娓呴櫎姊楅樆涓嬫柟缁撶洿鑲犲唴鐨勭勃渚匡紝鏈夊埄浜庤倹闂ㄦ帓姘斻€佽偁锠曞姩鎭㈠鑵圭棝鐨勭紦瑙o紝鐗瑰埆鏄鑰佸勾浜虹敱绮究鎵€鑷磋偁姊楅樆鍒欎负閲嶈鐨勬不鐤楁墜娈点€傚彲閲囧彇鑷凡涓诲姩涓婂帟鎵€鎺掍究锛屽ぇ渚垮洶闅炬椂鍙簨鍏堝紑濉為湶20ml鎸ゅ叆鑲涢棬鍒烘縺鍜屾鼎婊戞帓渚匡紝涔熷彲鐢ㄥ尰鐢ㄨ偉鐨傛按鍜屾俯鐢熺悊鐩愭按500-750ml浣庡帇鐏岃偁淇冭繘鎺掍究銆備弗閲嶈吂鑳€鏃惰繕鍙粠鑲涢棬鎻掑叆鏈夎倹绠℃帓姘斻€?/p>

鈦?锛庝负浠€涔堣闈欒剦琛ユ按锛?/strong>

鑲犳闃诲彂鐢熷悗涓嶈兘杩涢楗按銆佽儍鑲犲噺鍘嬪惛鍑哄ぇ閲忚儍鑲犳恫閮介渶瑕佽ˉ姘达紝姊楅樆浠ヤ笂鐨勮儍鑲犵鍐呬細娼寸暀杈冨娓楀嚭娑诧紝鑲犵鎵╁紶瓒婇噸娼寸暀瓒婂锛岄噸鑰呬細鑴辨按銆佷綆琛€閽句綆琛€閽犮€侀吀涓瘨銆佷綆琛€鍘嬪拰浼戝厠锛岃ˉ娑查噺姣忔棩闇€3-6鍗冩鍗囷紝鍖呮嫭鐢熺悊鐩愭按銆佽憽钀勭硸銆佽剛鑲钩銆佹皑鍩洪吀銆佹隘鍖栭捑绛夛紝绂侀瓒呰繃涓€鍛ㄤ互涓婅繕闇€瑕佽ˉ鍏呭鍚堢淮鐢熺礌鐗瑰埆鏄淮鐢熺礌B1銆傚崗鍔╄褰曞翱閲忋€佽儍娑插紩娴侀噺绛夛紝渚涘尰鐢熻绠楄ˉ娑查噺銆?/p>

8锛庡摢浜涙儏鍐靛彉鍖栬鏄庣梾鎯呭ソ杞紵

澶氭暟鎮h€呮不鐤?-2澶╁悗鑵圭棝鑵硅儉銆佹伓蹇冨憰鍚愬紑濮嬪ソ杞€佽倹闂ㄥ嚭鐜版帓姘斻€佹湁杩涢娆叉湜銆佸彛鑵斾笉骞茬瓑锛岃鏄庣梾鎯呭ソ杞紝涓€鑸О涓哄崟绾€ц偁姊楅樆锛涘皯鏁拌吂鐥涜櫧鏃犲姞閲嶏紝浣嗚吂鑳€銆佽倹闂ㄤ笉鎺掓皵浼氭寔缁?-2鍛ㄧ敋鑷虫洿闀挎椂闂达紝璇存槑瀛樺湪楹荤椆鎬ц偁姊楅樆锛涘鐭椂闂村唴鑵圭棝鎸佺画骞跺姞閲嶃€佸嚭鐜拌儗鐥涖€佽吂鑳€涓嶅绉般€佽吂閮ㄥ眬閮ㄩ殕璧枫€佸憰鍚愬姞閲嶅苟鏈夎鎬ц儍娑层€佽倹闂ㄦ帓鍑鸿娑茬勃娑层€佸嚭鐜颁綋娓╀笂鍗囥€佽鍘嬩笅闄嶃€佽鐧界粏鑳炲崌楂樸€佷綆閽犱綆閽鹃吀涓瘨绛夛紝璇存槑鐥呮儏鍔犻噸锛屽嚭鐜扮粸绐勬€ф垨闂セ鎬ц偁姊楅樆銆?/p>

9锛庝负浠€涔堣鍙嶅鎷嶈吂閮╔鍏夌墖锛?/strong>

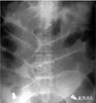
浠讳綍涓嶆槑鍘熷洜鐨勮吂鐥涳紝搴斿父瑙勮吂閮ㄥ钩鐗囨鏌ャ€傝吂鐥涘悗4-6灏忔椂鍑虹幇姘旀恫骞冲拰鏄庢樉鑲犵绉皵鎵╁紶鏃讹紝鍗冲彲璇婃柇鑲犳闃伙紝鍚屾椂锛岃繕鍙尯鍒槸灏忚偁姊楅樆杩樻槸澶ц偁姊楅樆銆佹満姊版闃昏繕鏄夯鐥规闃伙紝鍔ㄦ€佽瀵熷彲鍙嶆槧鑲犳闃荤殑鐥呮儏鍙樺寲锛屽洜姝わ紝鑲犳闃诲彂鐢熷悗鏈€濂芥瘡1-3澶╂媿涓€寮犺吂閮ㄥ钩鐗囷紝鐩村埌姘旀恫骞冲拰鑲犵Н姘旀秷澶便€?/p>

涓撳璇达細鍏充簬鑲犳闃荤殑14涓棶棰? onerror=

鏈烘鎬ц偁姊楅樆

涓撳璇达細鍏充簬鑲犳闃荤殑14涓棶棰? onerror=

楹荤椆鎬ц偁姊楅樆

鈦?0锛庤偁姊楅樆鍙兘鐨勭梾鍥狅紵

鏈夎繃鑵归儴鎵嬫湳銆佹崯浼ゆ垨鐐庣棁鍙茶€呭鐢辫偁绮樿繛鑷存闃伙紱鑲犳闃绘椂搴斾粩缁嗚吂閮ㄤ細闃撮儴鏄惁鏈夌枬鐨勫彲鑳姐€傛柊鐢熷┐鍎夸互鑲犻亾鍏堝ぉ鎬х暩褰负澶氳銆?宀佷互鍐呭皬鍎胯偁濂楀彔澶氳銆傝洈铏洟鎵€鑷寸殑鑲犳闃诲父鍙戠敓浜庡効绔ャ€傝€佸勾浜哄垯浠ョ粨鑲犺偪鐦ゅ強绮潡鍫靛涓哄父瑙併€傞€氬父鍏堝父瑙勪繚瀹堟不鐤楋紝绛夊緟鐥呮儏绋冲畾鎴栨湁鏉′欢鏃跺啀杩涗竴姝ユ鏌ユ槑纭瘖鏂紝鏈変簺鑲犳闃荤梾鍥犲鏉傦紝鐢氳嚦鍙湁閫氳繃寮€鍒€鎵嶈兘鏄庣‘璇婃柇銆?/p>

涓撳璇达細鍏充簬鑲犳闃荤殑14涓棶棰? onerror=

11锛庤偁姊楅樆鑳戒笉鑳藉仛鑳冭偁闀滄鏌ワ紵

鍘熷垯涓婅偁姊楅樆鍙戜綔鏈熼棿涓嶅仛鑳冮暅鍜岃偁闀滄鏌ャ€傞€氬父鍙厛琛岃吂閮–T骞虫壂鎴栧寮烘鏌ョ瓫鏌ユ湁鍚︽槑纭殑鑵归儴鍗犱綅鐥呭彉锛屽鎬€鐤戝崄浜屾寚鑲犵梾鍙樺彲琛岃儍闀滄鏌ワ紝濡傛€€鐤戜箼鐘剁粨鑲犱互涓嬮儴浣嶇梾鍙樺彲閫氳繃娓呮磥鐏岃偁鍚庡仛涔欑姸缁撹偁鐩磋偁灞€閮ㄧ殑鑲犻暅妫€鏌ャ€備竴鑸偁姊楅樆缂撹В2-3鍛ㄥ悗鍙€氳繃鍙f湇娲楄偁娉曡繘琛屽叏缁撹偁鐨勮偁闀滄鏌ヨ繘涓€姝ユ槑纭瘖鏂€?/p>

12锛庝负浠€涔堣鐢ㄧ敓闀挎姂绱犲拰鎶楃敓绱犳不鐤楋紵

涓村簥鐮旂┒鍙戠幇鐢熼暱鎶戠礌鑳藉鎶戝埗娑堝寲娑茬殑鍒嗘硨锛岃偁姊楅樆搴旂敤鍚庢闃昏繎绔唴娓楁恫鍑忓皯锛岃儍绠″紩娴佹恫鍑忓皯锛岃吂鐥涜吂鑳€濂借浆锛屾瘡鏃ヨˉ娑查噺涔熸湁鎵€鍑忓皯锛屼竴鑸24灏忔椂杩炵画浣跨敤3-5澶┿€備竴鑸緝杞荤殑鍗曠函鎬ц偁姊楅樆涓嶇敤鎶楃敓绱狅紝褰撹吂鐥涜吂鑳€鍔犻噸銆佽偁鑵旀槑鏄炬墿寮犳椂锛屼负

闃叉鑲犺厰缁у彂缁嗚弻鎰熸煋鏃跺彲搴旂敤閽堝闈╁叞姘忛槾鎬ф潌鑿岀殑鎶楃敓绱犮€?/p>

13锛庝粈涔堟儏鍐典笅闇€瑕佹墜鏈不鐤楋紵

褰撹吂鐥涜吂鑳€鍔犻噸鍑虹幇缁炵獎鎬у拰闂セ鎬ц偁姊楅樆鏃躲€佸綋鏄庣‘鏄祵椤挎€х枬鎵€鑷磋偁姊楅樆鏃讹紝搴旀€ヨ瘖鎵嬫湳瑙i櫎姊楅樆锛屼负閬垮厤鍒囬櫎鏇村鍧忔鐨勮偁绠★紝鎵嬫湳瓒婂揩瓒婂ソ锛涜吂閮–T妫€鏌ュ彂鐜版槑纭殑鍗犱綅鐥呭彉淇濆畧娌荤枟鏁堟灉涓嶆槑鏄炬椂锛屽彲閫夋嫨鎵嬫湳娌荤枟锛涘綋鍙戠梾鏃舵湁鏄庢樉鑵圭棝锛屾不鐤楀悗鑵圭棝濂借浆锛屼絾鑵硅儉涓嶅ソ杞€佽倹闂ㄤ笉浠嶄笉鎺掓皵锛屼繚瀹堟不鐤?-2鍛ㄤ互涓婏紝鐥呭洜浠嶄笉鏄庣‘鏃讹紝涔熷彲鑰冭檻鎵嬫湳娌荤枟銆傛槑纭偁姊楅樆鐨勭梾鍥犲悗鍐冲畾鎵嬫湳娌荤枟鏂规硶锛屾槑纭槸楹荤椆鎬ф垨鍔ㄥ姏鎬ф垨鍋囨€ц偁姊楅樆涓€鑸笉鑰冭檻鎵嬫湳娌荤枟銆?/p>

14锛庡浣曡繘琛屾墜鏈不鐤楋紵

閽堝鐥呭洜杩涜绮樿繛鏉捐В鏈€佽偁鍒囧紑鍙栭櫎寮傜墿銆佽偁濂楀彔鎴栬偁鎵浆澶嶄綅鏈瓑鎵嬫湳锛涙牴鎹偁绠$殑琛€渚涘喅瀹氭槸鍚﹁偁绠″垏闄よ偁鍚诲悎鏈€傝偪鐦ゆ蹈娑︽垨鑲犵矘杩炴垚鍥笉鑳借В闄ゅ張涓嶈兘鍒囬櫎鏃讹紝鍙綔姊楅樆杩戠涓庤繙绔偁鎷岀煭璺惢鍚堟敼閬撱€傜梾鎯呬弗閲嶆垨灞€閮ㄧ梾鍙樻墍闄愪笉鑳借€愬彈涓€娆℃€ф墜鏈紝鍙噰鐢ㄧ洸鑲犳垨妯粨鑲犺吂澹侀€犲彛瑙i櫎姊楅樆锛屽緟鐥呮儏绋冲畾鍚庡啀浜屾寮€鍒€瑙e喅銆傜洿鑲犱箼鐘剁粨鑲跨槫鐙獎姊楅樆鏃讹紝鍙敤鑲犻暅杈呭姪鍏堢疆鍏ユ敮鏋惰В闄ゆ闃诲悗涓€娆℃€у紑鍒€鍒囬櫎鐥呯伓銆傚皬鑲犺偁濂楀彔鍙厛閲囩敤閽″拰绌烘皵鐏岃偁澶嶄綅鏂规硶銆?/p>

鏉ユ簮锛氳埅娴锋秷鍖?/p>

涓撳璇达細鍏充簬鑲犳闃荤殑14涓棶棰?鑲犳闃昏绱т笉

蜀ICP备15013208号-3