我公司出售高质量的氨基酸液、氨基酸原粉、氨基酸微量元素、eddha铁、螯合铁等并支持肥料产品的定制,欢迎来电,免费索取样品!

  • 公司地址
    中国,四川,成都
  • 联系电话
    18681783931

氨基酸GAD酶(表格总结+实战读片:掌握急性小脑性共济失调的常见病因及诊断线索丨临床必备)

急性小脑共济失调作为神经科急症的重要表现之一,指既往健康个体在72小时内出现的平衡和协调障碍。对常见病因,特别是可治性因素的识别,至关重要。其中可能引起急性小脑共济失调的主要疾病有:卒中、感染性疾病、毒性疾病、免疫介导疾病、副肿瘤性疾病等。本文重点介绍急性共济失调的病因和诊断注意事项。

医脉通编译整理,未经授权请勿转载。

可引起急性小脑共济失调的主要疾病

表1 可引起急性小脑共济失调的主要疾病

表格总结+实战读片:掌握急性小脑性共济失调的常见病因及诊断线索丨临床必备表格总结+实战读片:掌握急性小脑性共济失调的常见病因及诊断线索丨临床必备表格总结+实战读片:掌握急性小脑性共济失调的常见病因及诊断线索丨临床必备

感染性病变

继发于感染性疾病的急性小脑共济失调最常累及后颅窝。在儿科人群中,急性共济失调最常见的原因是小脑炎。经常或首先影响小脑的传染性病原体包李斯特菌(Listeria monocy togenes)、水痘-带状疮疹病毒、John Cunningham(JC)病毒、克罗伊茨费尔特-雅各布病等。

1. 急性小脑炎

急性小脑炎是感染或疫苗接种后导致的一种免疫介导性炎症疾病。直接中枢神经系统感染的证据的很少。急性感染性小脑炎更常见于儿童和青年成人群中。它是一种单纯的小脑综合征,发病时有正常或异常的脑磁共振成像(MRI)表现。以前报告的感染包括埃-巴二氏(EB)病毒,流感A、B病毒, 腮腺炎, 水痘-带状疮疹病毒, 柯萨奇病毒、轮状病毒、艾柯病毒,肺炎支原体和免疫接种。

2. 细菌性感染

任何引发脑膜脑炎的细菌感染都会导致小脑的体征和症状,包括急性小脑共济失调(ACA)。肺炎支原体也与急性疾病期间或之后的小脑综合征有关。考虑到菱形脑炎,单核细胞增生李斯特菌是最常见的病原体。

3. 获得性免疫缺陷综合征

在获得免疫缺陷综合征的患者中,ACA与肺炎链球菌、EB病毒单纯疱疹病毒和弓形体病有关。

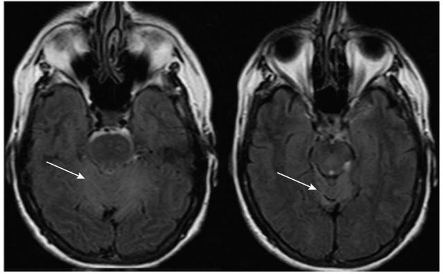
引起急性共济失调的其他疾病包括莱姆病,Whipple病,曲霉菌病,JC病毒,梅毒和克雅病等。亚急性共济失调和脑MRI异常(图1)可能是由JC病毒感染引起的。

表格总结+实战读片:掌握急性小脑性共济失调的常见病因及诊断线索丨临床必备

图1 表现为亚急性小脑性共济失调的HIV患者。脑脊液PCR证实John Cunningham病毒感染(进行性多灶性白质脑病小脑型);A-B:T2WI和FLAIR可见小脑不对称高信号,累及左侧小脑半球和小脑中脚。

中毒性病变

1. 酒精性小脑变性

小脑,特别是浦肯野细胞,对较多的有毒物质敏感,其中酒精是最常见的。酒精可能对中枢神经系统和外周神经系统产生毒性作用。酒精性小脑变性与酒精直接作用于浦肯野细胞和维生素B1缺乏症有关。共济失调通常进展较快(数周或数月),但也可能进展较慢。神经学特征通常包括严重的步态共济失调和下肢、上肢相对轻度受累。有趣的是,言语和眼球运动通常是正常的。酒精性小脑变性的脑影像学表现为蚓部萎缩。酒精性小脑变性常伴有周围神经病变等。酒精性小脑变性的治疗包括戒酒和补充维生素B1。

2. 抗生素诱导急性共济失调

甲硝唑启动治疗后几周,可能会出现小脑征和脑MRI异常。其特征为小脑功能障碍,罕见的癫痫发作和非特异性脑电图异常。甲硝唑毒性导致了小脑齿状核、背侧脑干、或脑胼胝体压部特征性的可逆MRI信号异常。在MRI中都观察到扩散性增加和降低,这表明血管源性水肿和细胞毒性水肿均存在可变。

其他药物可能导致毒性共济失调,主要取决于药物使用的剂量和时间。主要包括抗惊厥药、抗肿瘤药、锂和胺碘酮等。

免疫介导性病变

1. 桥本脑病

桥本脑病(HE)是一种与体内自身免疫性甲状腺抗体相关的脑病。临床上以急性、亚急性或慢性发病,症状以反复发作或进行性加重的意识障碍、癫痫发作、认知功能损害及局灶性神经功能障碍为主要特点,有时病程迁延。HE很少出现单纯共济失调综合征,通常与更复杂与脑病有关。50%的患者脑部MRI表现为局灶性或弥漫性异常。这些患者使用类固醇治疗,难治性患者可以使用免疫抑制剂治疗。

2. 自身免疫性脑炎

自身免疫性脑炎(autoimmune encephalitis, AE)泛指一类由自身免疫机制介导的脑炎。目前AE患病比例占脑炎病例的10%~20%,以抗N-甲基-D-天冬氨酸受体(NMDAR)脑炎最常见,约占AE患者的80%。

AE主要表现为精神行为异常、认知障碍、近事记忆力下降、癫痫发作、言语障碍、运动障碍、不自主运动、意识水平下降与昏迷、自主神经功能障碍等。抗NMDAR脑炎的症状最为多样。一些AE患者以单一的神经或精神症状起病,并在起病数周甚至数月之后才进展出现其他症状。不自主运动在抗NMDAR脑炎中比较常见,可以非常剧烈,包括口面部的不自主运动、肢体震颤、舞蹈样动作,甚至角弓反张。抗LGI1抗体相关脑炎患者也可见肢体震颤和不自主运动。自主神经功能障碍包括:窦性心动过速、泌涎增多、窦性心动过缓、低血压、中枢性发热、体温过低和中枢性低通气等,在抗NMDAR脑炎中相对多见。

3. 副肿瘤性小脑变性

副肿瘤性小脑变性(PCD)与卵巢和乳腺、小细胞肺癌和霍奇金淋巴瘤的肿瘤相关,但也与许多其它类型的肿瘤相关报道。大约20%的副肿瘤性神经综合征可见副肿瘤性小脑变性,其影响女性多于男性。该病通常有急性或亚急性发作,伴有眩晕、头晕、呕吐和恶心,并在数周至数月内迅速演变为步态共济失调、躯干和肢体共济失调、构音障碍和眼球震颤。此外,PCD通常达到峰值,然后再稳定下来。其他症状包括吞咽困难、反射活跃、听力丧失、锥体外系征、周围神经病变和认知障碍。脑MRI通常是正常的,特别是在疾病的早期(见图2)。目前报道的副肿瘤性小脑变性相关抗体见表2。

表格总结+实战读片:掌握急性小脑性共济失调的常见病因及诊断线索丨临床必备

图2 表现为急性共济失调的乳腺癌患者。诊断为副肿瘤性小脑变性;FLAIR可见小脑上蚓部明显高信号。

表2 副肿瘤性小脑变性:自身抗体、相关肿瘤及临床症状

表格总结+实战读片:掌握急性小脑性共济失调的常见病因及诊断线索丨临床必备

维生素缺乏症

维生素B1(硫胺素)和B12缺乏可能导致ACA或亚急性共济失调。硫胺素缺乏可引起Wernicke脑病(外肌麻痹、精神异常及共济失调),这是酗酒者经常观察到的一种情况。此外,硫胺素缺乏也参与了酒精性小脑变性的病理生理过程。维生素B12缺乏会导致感觉性共济失调,患者会出现本体感觉受损、周围神经病变和锥体征。血清B12水平通常降低,高水平的同型半胱氨酸和甲基丙二酸也有助于诊断。

MRI可显示颈或胸脊髓后柱的高信号(图3)。对症治疗包括肌肉注射B12。维生素E缺乏通常与遗传原因有关,并且有一个类似Friedreich‘s共济失调的慢性过程。

表格总结+实战读片:掌握急性小脑性共济失调的常见病因及诊断线索丨临床必备

图3 表现为急性感觉性共济失调的维生素B12缺乏症患者。脊柱MRI T2WI显示脊髓后柱高信号。

其他包括乳糜泄、抗GAD(谷氨酸脱羧酶)共济失调、Miller-Fisher综合征、多发性硬化等。

血管及结构性病变

1. 血管性病变

小脑卒中占全部卒中类型的2%-3%。急性小脑卒中可能表现为共济失调,眩晕、构音障碍、恶心、呕吐和常见的头痛。小脑梗塞或出血最初可能以临床无关症状显示,之后迅速恶化出现危及生命的神经症状,最终导致昏迷。这些并发症主要是由于这些并发症主要是由于脑积水、脑干压迫、或不可逆脑干梗死导致的。

大约20%的小脑卒中患者由于血肿效应而出现临床和影像学恶化的表现。小脑缺血主要发生在小脑后下动脉、小脑前下动脉和小脑上动脉三大血管床之一,主要原因是栓塞、大血管粥样硬化或椎基底动脉夹层。椎基底动脉的病理异常可导致小脑缺血与脑干缺血并存。因此,颅神经异常可能与急性共济失调并存。

小脑出血约占所有颅内出血的9%~10%。高血压和小血管疾病为最常见的原因。它经常出现在中老年患者中。小脑出血的临床表现取决于周围水肿的大小。小脑卒中患者可表现为典型的小脑症状,大面积脑卒中患者可能出现昏迷,并可能出现其他脑干特征和脑积水。

表格总结+实战读片:掌握急性小脑性共济失调的常见病因及诊断线索丨临床必备

图4 表现为突发共济失调的脑梗死患者。FLAIR可见小脑上动脉供血区急性缺血性卒中,伴第四脑室受压

2. 结构性病变

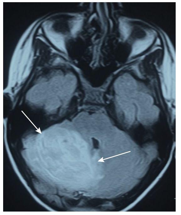
原发性脑肿瘤,如脑膜瘤和胶质瘤,以及继发于黑色素瘤、乳腺癌和肺癌的转移性肿瘤,可出现急性共济失调(图5)。同样,其他儿童后颅窝脑肿瘤,包括小脑星形细胞瘤和髓母细胞瘤,也可能伴有ACA和第四脑室出口梗阻的脑积水。其他占位性病变也出现,如小脑病变、脓肿、动静脉畸形等。

表格总结+实战读片:掌握急性小脑性共济失调的常见病因及诊断线索丨临床必备

图5 表现为急性共济失调的肾移植患者。增强MRI可见小脑环形强化病灶;活检证实为中枢神经系统移植后淋巴组织增生性疾病。

遗传代谢性病变

1. 生物素缺乏

与急性共济失调相关的遗传代谢性疾病主要发生在儿童中,在成人较少发生。生物素缺乏为主要要表现为癫痫发作、张力减退、呼吸问题、听力丧失和视神经萎缩的一种遗传性疾病。其他临床为皮疹、脱发和结膜炎。迟发性生物素缺乏的患者可能出现ACA,特别是在急性应激后,如长期感染。

2. 枫糖尿病

枫糖尿病是一种常染色体隐性氨基酸病。该疾病因为有甜味的尿液被得名。患者经常出现间歇性的急性共济失调、嗜睡和癫痫发作。治疗包括限制蛋白质的饮食和补充必需的氨基酸和微量营养素。

3. 哈特纳普病

哈特纳普病(Hartnup disease)是常染色体隐性氨基酸尿症,由于肠道吸收和肾小管再吸收色氨酸有缺陷及色氨酸过氧化酶缺乏而引起的色氨酸代谢障碍。患者可能表现为光敏性皮炎、情绪不稳定、共济失调症状、癫痫发作和间歇性发作症状。

4. 线粒体紊乱

线粒体紊乱如丙酮酸脱氢酶缺乏、丙酮酸脱羧酶缺乏和利氏综合征可能有间歇性或急性小脑共济失调,常与乳酸酸中毒有关。

5. 发作性共济失调

发作性共济失调,特别是1型和2型,是最常见的形式,可能会引起ACA的复发症状。家族史和遗传特征对诊断至关重要。

其他

其他病因包括儿童周期性综合征、良性阵发性斜颈、心因性共济失调、偏头痛伴脑干先兆和其他前庭疾病等。

参考文献:

[1] Pedroso JL, Vale TC, Braga-Neto P, Dutra LA, Fran?a MC Jr, Teive HAG, Barsottini OGP.Acute cerebellar ataxia: differential diagnosis and clinical approach.Arq Neuropsiquiatr. 2019,7(3):184-193.

[2] Manto M, Habas C. Cerebellar disorders: clinical/radiologic findings and modern imaging tools.[J]. Handbook of Clinical Neurology, 2016, 135:479-491.

蜀ICP备15013208号-3