我公司出售高质量的氨基酸液、氨基酸原粉、氨基酸微量元素、eddha铁、螯合铁等并支持肥料产品的定制,欢迎来电,免费索取样品!

  • 公司地址
    中国,四川,成都
  • 联系电话
    18681783931

氨基酸肝氨(猫肝脂沉积症的症状诊断以及治疗建议)

氨基酸肝氨

猫肝脏脂肪沉积症

少量脂肪通常存在于肝细胞中。这种脂肪的最初来源是饮食。脂肪从肠道被吸收到血液中,与白蛋白结合,并呈现给肝细胞。脂肪有几种形式,主要是胆固醇、甘油三酯和脂肪酸。

脂肪主要用于能量,性激素和类固醇激素的生产,有助于细胞壁完整性,并作为能量的存储。在正常肝脏中,血液中的脂肪进入肝脏的速度和肝脏利用这些脂肪的速度大致相同。当脂肪在肝细胞内沉积的速度与脂肪的利用率不平衡时,甘油三酯的含量就会增加,从而导致脂肪增加。在许多物种中,肝细胞中的脂肪过多不会造成严重的问题。

对猫来说,这可能会成为一个严重的问题。导致猫这种不平衡的确切机制尚不清楚。据推测,当肥胖猫的肝脏需要这些脂肪储存来补充能量时(猫不吃东西或者饿了),它们体内多余的脂肪就会沉积于肝脏。这引发了一系列涉及胰岛素、葡萄糖和脂肪酶的生化反应,导致肝细胞中甘油三酯的过量积累。

这种疾病在猫身上比在其他动物身上更常见,当多余的脂肪(称为甘油三酯)积聚在肝细胞(肝细胞)和胆汁积聚在肝细胞(胆汁淤积)时就会发生,被称为特发性肝脂质病(IHL)。特发性是指病因不明。这种类型的脂肪肝会导致肝功能衰竭,如果不及时治疗可能会导致死亡。

在这种形式的肝脂质病中,脂肪堆积是继发于其他一些问题。这比原发性脂肪肝更常见。继发性肝脂质病不会引起肝衰竭。当原发性疾病得到治疗时,肝脏问题往往会得到解决。很大比例的猫患有继发于这些疾病的脂肪肝:

糖尿病

四环素抗生素

炎症性肠病(IBD)

胰腺炎

营养不良甚至饥饿

肥胖

甲状腺机能亢进

肾脏疾病

慢性膀胱炎

癌症

心肌病

IHL可以发生在任何年龄或品种的猫,虽然它不常见的年轻猫。这是猫最常见的肝病。狗在禁食或一段时间不吃东西后会患上脂肪肝。他们会低血糖(低血糖),甚至会死亡。

病史

患有IHL的猫总是有厌食症(不吃东西),导致体重下降。他们通常(或曾经)肥胖,有时最近有一段压力发作的历史,导致他们停止进食。许多业主会注意到黄疸和呕吐。其他症状包括腹泻、便秘、流涎和抑郁。

症状表现

患有IHL的猫体重减轻了(尽管在检查时它们仍然可能是肥胖的),耳朵、眼白和口腔粘膜(牙龈)可能出现黄色变色(黄疸)。甚至可以触诊肝肿大。如前所述,肝脏疾病的其他一些常见症状有时也会出现。

猫肝脂沉积症的症状诊断以及治疗建议

猫的口腔有黄疸(黄疸),是由肝脂肪肝引起的,尽管严重的贫血也可能导致这种症状

猫肝脂沉积症的症状诊断以及治疗建议

刚从这只猫身上取血并在我们的离心机中旋转后的样子。血清是最上面的一层,和这只猫的牙龈一样呈橘黄色。

诊断

1,血常规显示ALT和Alk Phos水平升高,GGT轻度升高。此外,血液中胆红素水平通常较高,尿液中也存在胆红素。胆汁酸测试经常升高,有时血氨水平也可能升高。

2,其他发现可能包括贫血、低白蛋白(低白蛋白血症)、高胆固醇(高胆固醇血症)、低BUN、低钾(低钾血症)和高血糖(高血糖)。

3在猫身上IHL的疾病可能怀疑FIP、胆管肝炎和肝癌。需要对肝脏进行活检(通常在超声检查时进行)以验证诊断。

4,IHL通常涉及许多肝细胞,因此,任何肝组织的一般样本通常产生诊断结果。但并非所有肝病都是这样。有些是局灶性的,只涉及肝脏的一小部分。幸运的是,超声可以发现这些病灶区域,活检针可以被超声引导到病变区域。

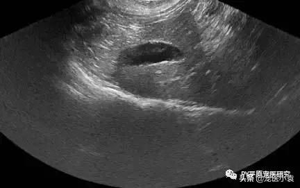
猫肝脂沉积症的症状诊断以及治疗建议

肝脏,中间是黑色的球形膀胱

5,影像学可能显示肝肿大或正常大小的肝脏。体重减轻可能在x线片上很明显,但腹部脂肪储备可能是正常的。

猫肝脂沉积症的症状诊断以及治疗建议

这张x光片上已经标记了内部器官,包括这只猫的正常肝脏

IHL超声显示肝肿大伴肝实质改变(肝的内部解剖)。超声波也可能显示胰脏发炎(胰腺炎)。

 探查手术

如果进行探查性手术,肝脏可能会出现黄褐色或淡黄色,肿大,边界肿胀。它摸起来很油腻,很容易受伤。

猫肝脂沉积症的症状诊断以及治疗建议

这种肝脏肿胀和颜色是IHL猫的典型特征

探索性手术允许我们取一大块肝脏进行活检。它还允许可视化其他腹部器官,特别是那些可能与这种疾病有关的器官,如胰腺。

猫肝脂沉积症的症状诊断以及治疗建议

这是在实际的探查手术中对肝脏进行活组织检查的一种方法,而不是在超声检查中进行活组织检查。探索性手术方法更具侵入性,但你可以用一块更大的肝脏作为交换。注意这个肝脏的颜色与上面那个患病的相比是正确的。

组织病理学

病理学家需要在显微镜下分析肝脏才能做出明确的诊断。

治疗

支持性护理是至关重要的,可能需要很长一段时间来实施。患有IHL的猫应该被留在医院,直到它们服用了所有药物,血液参数有所改善。

补充体液和电解质

可以纠正食欲不振时的脱水,并补充所需的钠、钾和氯。这种液体通常一开始是静脉注射的。它可以在家里皮下注射(平方)后,初步脱水纠正。复合维生素b通常添加到液体袋,以纠正可能发生的IHL缺乏症。有凝血问题的猫可能需要维生素K。这可能是由于厌食症和减少合成萎缩的肠道。与液体疗法同时,我们将开始能量支持。

能量支持

这是治疗IHL最重要的部分,通常包括使用饲管。猫每天至少需要60千卡/公斤的高热量高蛋白饮食。小肠的内层(称为绒毛)会因缺乏使用而萎缩,因此需要一个短的适应期来使它们重新正常工作。这是通过在头几天喂少量的食物来实现的,即使没有满足全部的热量需求。除非出现明显的肝性脑病(HE)迹象,否则不应限制饮食中的蛋白质水平。

抗生素

免疫系统的衰弱,诊断测试、住院治疗的压力,使这些猫易于感染。在这种情况下,抗生素会有所帮助,特别是如果精神抑郁是由肝性脑病(血液中过量的氨)引起的。抗生素可以减少结肠中的细菌数量,从而减少从肠道吸收到血液中的氨的量。

四环素类抗生素可能是引起肝脂肪肝的初始原因,应尽可能避免使用。

乳果糖

这类药物有助于将导致呕吐、唾液分泌和精神抑郁的氨积聚降至最低。它对这种疾病有很大的帮助。

止吐药物

Cerenia?和Reglan?等药物可以控制呕吐,减少溃疡引起的胃出血。一般来说,我们希望尽量减少使用安定和可的松与IHL猫。

溃疡类药物

像Tagamet?和sucralfate?这样的药物可以帮助保护胃粘膜,让宠物感觉更好。这些宠物更喜欢吃东西。

补充治疗

一些猫可能会受益于其他治疗方式,尽管并非所有的猫都是这样。这些补充剂的作用机制是假设的,但没有得到证实。

左旋肉碱——这种必需的氨基酸是肝脏正确利用脂肪所必需的。即使在患有IHL的猫身上没有发现低水平的IHL,补充IHL可能是有益的。

精氨酸——这是另一种氨基酸。它来自于猫禁食时的肌肉蛋白质。在长时间的禁食之后,肌肉中的蛋白质会减少,精氨酸也会缺乏。缺乏可能导致高水平的氨,最终导致肝性脑病(HE)。它是猫体内的一种必需氨基酸。

牛磺酸-这也是一种氨基酸,可能与IHL有关。它是一种必需的氨基酸,所以补充可能是有益的。

乌索二醇-这种药物对肝脏如何代谢胆固醇有影响,并减少胆汁的毒性作用。

当食欲开始恢复时,我们会慢慢减少通过试管喂养的食物量。当你的猫自己吃得很好,肝脏检查也改善了血液检测,我们就会拔掉喂食管。这可能需要几天到几个月的时间。

预后

这种疾病在大多数情况下经药物治疗是可逆的。如果及早开始治疗,治愈率从65%到75%不等。

患有胰腺炎的猫,持续低钾血症(低钾),或其胆红素升高在10天内没有显著下降,对预后不良有保护作用。

监控

在治疗的早期阶段,变化可能会很快发生,因此需要定期监测血液参数,特别是像钾和磷这样的电解质。磷、钾和红细胞水平应在开始热量支持后的72小时内监测。应每周监测血清酶和胆红素,直到食欲恢复。

猫肝脂沉积症的症状诊断以及治疗建议,猫肝脏脂肪沉积症

蜀ICP备15013208号-3