我公司出售高质量的氨基酸液、氨基酸原粉、氨基酸微量元素、eddha铁、螯合铁等并支持肥料产品的定制,欢迎来电,免费索取样品!

  • 公司地址
    中国,四川,成都
  • 联系电话
    18681783931

氨基酸对肿瘤(一个氨基酸引出的乳腺癌耐药靶点)

氨基酸对肿瘤

靶向治疗乳腺癌的药物赫赛汀

一个氨基酸引出的乳腺癌耐药靶点

乳腺癌是女性中最常见的癌症,这类癌症的生长大多数依赖体内的雌激素水平。雌激素受体阳性(ER+)乳腺癌经常使用他莫西芬治疗,这类药物的作用是阻断激素对肿瘤的影响。然而,许多患者的肿瘤最终会对他莫西芬产生耐药性,从而导致癌症复发或转移。

一个氨基酸引出的乳腺癌耐药靶点

图片来源:Nature

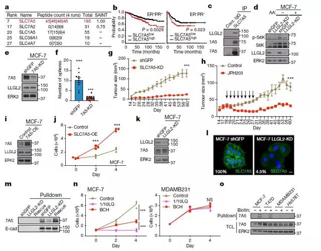
4月17日,来自哈佛医学院等机构的科学家们在1篇Nature论文[1]中揭示了一种名为亮氨酸的氨基酸与他莫西芬耐药性形成之间意向不到的关联。此外,研究还发现了一种可将亮氨酸导入细胞的关键蛋白,该蛋白可调节ER+乳腺癌细胞对他莫西芬的敏感性。

亮氨酸是必须通过食物获取的9种必需氨基酸之一。牛肉、鸡肉、猪肉和鱼都富含亮氨酸。先前已有研究证实,减少总亮氨酸的摄入能够改善新陈代谢。由于细胞本身不能产生亮氨酸,因此科学家们能够操纵培养皿中细胞暴露于亮氨酸的水平,以观察这种氨基酸对来源于人类的ER+乳腺癌细胞生长的影响。

一个氨基酸引出的乳腺癌耐药靶点

SLC7A5调节ER+乳腺癌细胞的增殖(图片来源:Nature)

这项研究显示,亮氨酸水平降低抑制了ER+乳腺癌细胞的分裂,反之亦然。令人惊讶的是,科学家们还发现,尽管亮氨酸水平较低,对他莫西芬产生耐药性的细胞仍能生长。

进一步的研究表明,一个名为SLC7A5的表面蛋白是细胞将亮氨酸运到胞内所必需的。在对他莫西芬耐药的ER+乳腺癌细胞中,这种蛋白表达水平较高。研究显示,提高SLC7A5水平可以使细胞吸收更多的亮氨酸,且足以使乳腺癌细胞对他莫西芬耐药;而SL7A5抑制剂治疗能够使得小鼠ER+肿瘤缩小。这表明,抑制SLC7A5可能是治疗ER+乳腺癌一种潜在的方法。

一个氨基酸引出的乳腺癌耐药靶点

图片来源:Nature

领导该研究的Senthil K. Muthuswamy博士认为,这项成果揭示了一种克服ER+乳腺癌患者对激素疗法耐药的潜在新策略,也为低亮氨酸饮食可能对ER+乳腺癌患者有益提供了证据。由低亮氨酸植物蛋白组成的饮食可能是ER+乳腺癌患者更好的选择。

接下来,Muthuswamy博士团队将调查是否限制亮氨酸的饮食能够阻止小鼠中ER+乳腺癌细胞的生长或增强癌细胞对治疗的响应。研究人员表示,类似的临床试验价值巨大,因为如果试验结果如人意,那么,将提供改善ER+乳腺癌治疗非常简单的方法。

一个氨基酸引出的乳腺癌耐药靶点

富含天冬酰胺的食物包括奶制品、乳清、牛肉、家禽、蛋、鱼、海鲜、芦笋、土豆、豆类、坚果、种子、大豆和全谷物;天冬酰胺含量较低的食物包括大多数水果和蔬菜。(图片来源:Nature)

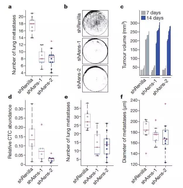
近年来,调查氨基酸对肿瘤发生、发展以及治疗的影响是热门研究方向之一。除了影响乳腺癌的耐药性,去年2月,英国剑桥大学的科学家们在另1篇Nature论文[2]中证实,天冬酰胺(一种非必需氨基酸,机体可合成) 是防止三阴性乳腺癌(TNBC,占所有乳腺癌的12%-20%)扩散的关键。当小鼠被喂以低天冬酰胺饮食,或用药物来阻断天冬酰胺,肿瘤就很难扩散了。

具体来说,研究发现,原发性肿瘤中天冬酰胺合成酶(细胞利用该酶来制造天冬酰胺)的出现与之后的癌症扩散密切相关。利用化疗药物L-asparaginase处理或饮食限制减少天冬酰胺合成酶后,癌症转移受到了极大的限制。而当实验小鼠被喂以富含天冬酰胺的食物时,癌细胞扩散得更快了。

一个氨基酸引出的乳腺癌耐药靶点

天冬酰胺作为癌症侵袭和转移的驱动因素(图片来源:Nature)

基于这一发现,领导该研究的Gregory J. Hannon教授及其同事考虑进行1项早期临床试验,在此试验中,健康的参与者将采用“低天冬酰胺饮食”。如果这类饮食能导致天冬酰胺水平下降,下一步,他们将启动招募癌症患者的临床试验。

总结来说,这些不断发表的证据表明,患者饮食对癌症治疗具有非常重要的意义。不过,需要强调的是,尽管这些研究都刊登在顶级期刊上,但在临床试验结果出来前,患者不应该在不与医生交流的情况下从饮食中完全排除任何特定的营养组成。

相关论文:

[1]Yasuhiro Saito et al. LLGL2 rescues nutrient stress by promoting leucine uptake in ER+ breast cancer. Nature(2019).

[2] Simon R. V. Knott et al. Asparagine bioavailability governs metastasis in a model of breast cancer. Nature(2018).

参考资料:

1# Diet high in leucine may fuel breast cancer’s drug resistance

2# Diet may influence the spread of a deadly type of breast cancer, study finds

(此文为转载)

一个氨基酸引出的乳腺癌耐药靶点,靶向治疗乳腺癌的药物赫赛汀

蜀ICP备15013208号-3