我公司出售高质量的氨基酸液、氨基酸原粉、氨基酸微量元素、eddha铁、螯合铁等并支持肥料产品的定制,欢迎来电,免费索取样品!

  • 公司地址
    中国,四川,成都
  • 联系电话
    18681783931

氨基酸解毒(猫血液疾病|猫吃家里某些物质,引发贫血,即亨氏小体溶血性贫血)

氨基酸解毒

猫血液疾病|猫吃家里某些物质,引发贫血,即亨氏小体溶血性贫血

亨氏体贫血Heinz Body Hemolytic Anemia in Cats是一种贫血(携氧红细胞数量减少),其特征是红细胞上存在亨氏体(HB),从而导致其破坏(溶血)。

猫血液疾病|猫吃家里某些物质,引发贫血,即亨氏小体溶血性贫血

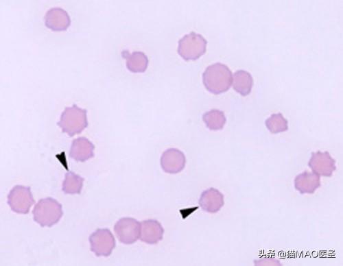
箭头;在这只贫血的猫的红细胞上很容易发现

海因小体(Heinz Body,海因茨小体,海因氏小体,亨氏小体),是红细胞内变性珠蛋白的包涵体,由德国物理学家Robert Heinz (1865-1924)于1890年发现并命名。

海因小体是红细胞内变性珠蛋白的包涵体 。光镜下可见红细胞内1-2μm大小颗粒状折光小体,分布于胞膜上。亚甲基蓝染色较吉姆萨染色更为清晰 。电镜观察,海因小体使红细胞膜变形并有皱纹,原有双层膜消失。

海因小体的形成是由于氧化等因素对血红蛋白造成的损害而变性形成的细胞内包涵体,沉积于细胞膜上并对其造成损害,受损红细胞易被脾脏的巨噬细胞吞噬。海因小体的形成过程不可逆,并可进展为亨氏小体溶血性贫血(Heinz body anemia)。

与其他动物相比,猫患亨氏体贫血的风险更大。当血红细胞暴露于引起血红蛋白链改变(变性)的氧化因子中时,就形成了亨氏体Heinz body。

高铁血红蛋白血症是由于血液中存在高铁血红蛋白(一种异常形式的血红蛋白)而引起的第二种氧化损伤。高铁血红蛋白不能与氧结合,导致组织供氧减少。

亨氏体贫血是再生性贫血的一种形式,红细胞是由免疫系统破坏亨氏体而产生的。

没有品种、性别或年龄的倾向。

猫血液疾病|猫吃家里某些物质,引发贫血,即亨氏小体溶血性贫血

成因

亨氏体贫血有很多原因,可以影响猫。

大多数情况下是由于摄入氧化物质,如某些药物、毒素和食物,其中包括:

  • 葱属植物(洋葱,大蒜,韭菜,韭菜,葱)。对猫来说,婴儿食品是洋葱和大蒜中毒的常见来源
  • 对乙酰氨基酚(扑热息痛)
  • 丙二醇(存在于许多产品中,包括肥皂、洗发水、婴儿湿巾和许多加工食品,包括一些半湿润的猫食)
  • 非那西汀(止痛药)
  • 亚甲蓝(尿镇痛药)
  • 苯佐卡因(局部麻醉剂)
  • 维生素K
猫血液疾病|猫吃家里某些物质,引发贫血,即亨氏小体溶血性贫血

猫血液疾病|猫吃家里某些物质,引发贫血,即亨氏小体溶血性贫血

系统性疾病也会导致海因茨氏体的形成,包括:

糖尿病引起的酮症酸中毒

甲状腺机能亢进

淋巴瘤

症状

在接触该物质24小时内就会出现亨氏体Heinz body,然而,从摄入到出现症状之间可能会有几天的延迟。严重程度取决于氧化剂的摄入量和暴露时间。与药物摄入相比,饮食和疾病导致的亨氏体生成速度更慢。

  • 嗜睡
  • 厌食症
  • 腹部疼痛
  • 如果有黄疸,细胞膜会微黄色
  • 呼吸急促呼吸(快速)
  • 增加心率
猫血液疾病|猫吃家里某些物质,引发贫血,即亨氏小体溶血性贫血

如果存在高铁血红蛋白血症,尿液呈红色或棕色,有发绀(蓝色/灰色)或褐色膜。

多涎

弱点

胃肠道紊乱,如腹痛、腹泻和呕吐。

如果根本原因是由于全身性疾病,可能还有其他症状。

糖尿病:口渴、排尿增多、体重减轻、后腿无力、口臭。

甲状腺机能亢进:食欲增加,体重减轻,行为紧张,心跳加快。

淋巴瘤:症状因位置不同而异,但可能包括淋巴结肿大、厌食、体重减轻和发热。

诊断

兽医会为你的猫进行一次全面的身体检查,并从你那里获得你的病史,包括你的猫最近可能吃过的食物、他可能接触过的药物或其他家用产品。

生化分析、全血计数及尿液分析以评估猫的整体健康状况。

海因茨尸体血涂片检测亚甲蓝染色。注意:猫的红血球中有亨氏氏体,但不会引起贫血。

腹部x线片检查是否有锌中毒。

如果发现亨氏体,但你的猫没有摄入(食物,毒素,药物)的历史,你的兽医将有必要寻找潜在的原因,如系统性疾病。

他可能需要进行以下测试:

糖尿病:检测血液和尿液中是否有高水平的葡萄糖(高血糖和尿糖)。

甲亢:验血检查血液中T3和T4激素水平。

淋巴瘤:胸部和腹部放射检查肠或肿块是否增厚。活检或细针抽吸可从组织和骨髓中取出。

治疗

治疗取决于贫血的严重程度,小的病例可能根本不需要治疗。

如果你的猫最近摄入了含有洋葱、大蒜等的毒素或产品,那么就要清除胃里的东西和/或使用活性炭。对没有表现出症状的已知接触过呕吐的猫进行催吐。

严重贫血的猫可能需要输血和/或氧气疗法。

对有严重呕吐和/或腹泻的猫进行液体治疗,保护肾脏免受血红蛋白引起的损伤。

内窥镜检查或外科手术从胃肠道移除金属物体以治疗锌中毒。

抗氧化剂,如n -乙酰半胱氨酸(NAC)。这种氨基酸有助于解毒和排除毒素。

其他的治疗方法对于治疗全身性疾病如甲状腺机能亢进、糖尿病和淋巴瘤是必要的。

在猫恢复期间,有必要限制它的活动。

随访预约将是必要的,以评估红细胞再生。

预防:

一定要仔细阅读食品标签,避免任何含有洋葱、大蒜或葱属植物的产品。小心处理食物。把含锌的产品锁起来。避免使用樟脑丸在家中。不要使用含锌的乳液(如防晒霜),因为锌很容易被舔掉。

除非你的兽医告诉你,否则千万不要用药。许多善意的宠物主人会给猫咪服用止痛药,以为它们在做正确的事情,但猫咪对这些药物的处理方式与我们不同,即使是小剂量也可能致命。

猫血液疾病|猫吃家里某些物质,引发贫血,即亨氏小体溶血性贫血

蜀ICP备15013208号-3