娌规憾鎬х殑姘ㄥ熀閰?/strong>
娌规€ц倢鑲や笉瑕佽皥鈥滄补鈥濆彉鑹诧紝娌规潵婧愪簬浣撳唴锛岃€屼笉鏄綘娑傛姽鐨勬鐗╂补锛屽ぇ娌圭毊鏍规簮鍦ㄤ簬閬椾紶锛岄泟鎬ф縺绱犲垎娉屾椇鐩涳紝瀵艰嚧鍑烘补杩囧锛岀啲澶溿€佺传澶栫嚎鍒烘縺銆佺毊鑲ゅ共鐕ャ€佽繃搴︽竻娲侀兘浼氬鑷寸毊鑲よ嚜鍔ㄥ垎娉屾补鑴傝捣鍒颁繚婀夸綔鐢ㄣ€傜敱浜庡牭濉炴瘺瀛斾腑鐨勮剛璐ㄤ綋鏄补婧舵€х殑锛屾秱鎶规鐗╂补鍙互婧惰В鍜屾澗鍔ㄥ牭濉炵墿锛屽埄浜庢竻娲佹瘺瀛旓紝鐮旂┒鍙戠幇锛屼簹楹婚吀鍜屼簹娌归吀鍙互鏈夋晥鎺ф补鍜屾姂鍒剁棙鐥樹骇鐢燂紝杩欎袱绉嶄笉楗卞拰鑴傝偑閰告槸浣撳唴涓嶈兘鍚堟垚鐨勶紝闇€瑕佸鐣屾憚鍏ワ紝鑰屾鐗╂补涓殑缇庤棨鏋滄补銆佷簹楹荤苯娌逛腑鍚噺寰堥珮銆?br/>
娌规€ц倢鑲も€滀互娌瑰吇鑲も€濇柟娉曪細
20%鑽疯嵎宸存补+80%缇庤棨鏋滄补(鎴栦簹楹荤苯娌?锛屼笉鏁忔劅鐨偆鏅氫笂浣跨敤鏃跺彲鍔犲叆鍗犳€绘瘮2.5%鐨勬煚妾拰钖拌。鑽夌簿娌?1锛?)銆?br/>娲侀潰鍓嶅厛娑傛姽闈㈤儴鎸夋懇鏁板垎閽燂紝鍐嶇敤姘ㄥ熀閰告磥闈骇鍝佹竻娲侊紝鍒╀簬娓呴櫎姣涘瓟鍫靛鐗╋紝娓╁拰涓嶅埡婵€鐨偆锛岄槻姝㈣繃搴﹀垎娉屾补鑴傘€?br/>鍙f湇椋熺敤绾у埆缇庤棨鏋滄补銆?/div>
鐨偆鑳藉惛鏀惰惀鍏绘垚鍒嗗悧
鎴戜滑鎬昏娑傛姽鎶よ偆鍝佺殑鏃跺€欐€昏瑕佽鐨偆鍚告敹锛岀敋鑷虫湁浜哄己璋冨垎瀛愰噺灏忕殑鎶よ偆鎴愬垎鏈夋晥鎴愬垎鑳借鐨偆鍚告敹锛屼絾鍒嗗瓙閲忓お澶ф棤娉曡鍚告敹锛屽疄闄呬笂锛屼竴浜涘垎瀛愰噺杈冨ぇ鐨勬姢鑲ゆ垚鍒嗭紝涓嶉渶瑕佽鐨偆缁嗚優鍚告敹涔熻兘鍙戞尌浣滅敤銆備负浠€涔堝憿锛熷洜涓虹毊鑲ゅ惛鏀舵姢鑲ゆ垚鍒嗗寘鎷垎涓虹毊鑲ょ粏鑳炲惛鏀跺拰鐨偆闈炵粏鑳炲惛鏀朵袱绉嶅舰寮忥紒鏈瘒鏂囩珷閲岋紝鎴戜滑灏辫亰涓€涓嬬毊鑲ゅ惛鏀惰繖鍥炰簨鍎裤€?/p>
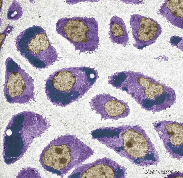
1銆佹兂鐪熸鐞嗚В鐨偆鍚告敹杩欎欢浜嬪効锛岄渶瑕佸厛鐭ラ亾鐨偆鍚告敹鐨勫熀纭€鈥斺€旂粏鑳炲鍩鸿川
浠庣粏鑳炰唬璋笌浠h阿浜х墿鐨勫姛鑳戒袱涓搴︽潵璁诧紝琛ㄧ毊缁勭粐鐢辩粏鑳炰笌缁嗚優澶栧熀璐ㄥ叡鍚屾瀯鎴愶紝缁嗚優鏄唬璋㈢殑鍦烘墍锛岀敓浜ф湁鏈虹墿骞跺垎娉屽埌缁嗚優澶栧熀璐ㄤ腑鍘诲疄鐜板悇鑷殑鍔熻兘銆傚洜鑰岋紝缁嗚優澶栧熀璐ㄦ棦鏄淮鎸佺粏鑳炴甯稿舰鎬佷笌鐢熷懡娲诲姩骞跺疄鐜板姛鐨勭幆澧冿紝涔熸槸缁存寔鐨偆褰㈡€佺殑鍩虹锛岃繖鐐瑰悓鏍烽€傚簲浜庤璐ㄥ眰銆?/u>
鏄惧井闀滀笅鐨勭粨缂旂粍缁囷紙鐨偆锛夛紝绱壊閮ㄥ垎鏄粏鑳烇紝閫忔槑閮ㄥ垎娌℃湁缁嗚優锛屽厖鏂ョ潃姘ㄥ熀鑱氱硸銆佽泲鐧借仛绯栥€佽兌鍘熻泲鐧界瓑鐗?/p>
鏄惧井闀滀笅杩涗竴姝ユ斁澶у悗锛屼細鍙戠幇缁嗚優涔嬮棿鍏呮枼鐫€娑蹭綋锛屽嵆缁嗚優澶栧熀璐?/p>
褰诲簳澶辨椿鐨勮璐ㄥ眰鍥犲け鍘诲姛鑳戒細鑴辫惤鎺夛紝娌℃湁澶卞幓娲绘€у拰鍔熻兘鐨勮璐ㄥ眰渚濈劧鍙互鍚告敹姘村垎銆佽剛绫汇€佹皑鍩洪吀銆佸皬鍒嗗瓙澶氳偨銆佸皬鍒嗗瓙绯栬嫹绫荤墿璐ㄧ瓑鐗╄川銆?/u>瀹為檯涓婏紝涓昏鏄粏鑳炲鍩鸿川鍚告敹鐗╄川锛?/u>閮ㄥ垎鍙洿鎺ュ仠鐣欏湪缁嗚優澶栧熀璐ㄤ腑璧峰埌璋冪悊鐨偆鐨勬晥鏋滐紱閮ㄥ垎鍒欓€氳繃缁嗚優澶栧熀璐ㄧ殑娴佸姩浣滅敤绉诲姩鍒伴绮掑眰銆佹灞傜敋鑷冲熀搴曞眰锛岃繘鑰岃鍏锋湁浠h阿鍔熻兘鐨勭粏鑳為€夋嫨鎬у惛鏀跺弬涓庣墿璐ㄥ悎鎴愶紙渚嬪姘ㄥ熀閰搞€佸皬鍒嗗瓙鑲姐€佺硸鑻风被鐗╄川锛夈€?/p>
2銆佹姢鑲ゆ垚鍒嗭紙鐨偆璋冪悊鍓傦級濡備綍閫氳繃缁嗚優鑶滀笌缁嗚優澶栧熀璐ㄥ彂鎸ヤ綔鐢紵
鎶よ偆鎴愬垎瀵硅皟鐞嗙毊鑲よ捣浣滅敤锛屼富瑕侀€氳繃涓ょ鏂瑰紡锛氱粏鑳炲惛鏀朵笌闈炵粏鑳炲惛鏀躲€?/p>
缁嗚優鍚告敹锛屽嵆鎶よ偆鎴愬垎鐩存帴杩涘叆缁嗚優鍐呭弬涓庣墿璐ㄥ悎鎴愭垨璋冭В鐗╄川鐨勫悎鎴愪笌鍒嗘硨锛屽墠鑰呴噷闈紝姘ㄥ熀閰搞€佸皬鍒嗗瓙鑲姐€佺硸鑻锋畫鍩恒€佸皬鍒嗗瓙涓嶉ケ鍜岃剛鑲吀绛夌墿璐ㄩ兘鑳借繘鍏ワ紱鍚庤€呭垯鏄笁纾烽吀鑵鸿嫹锛圓TP锛夈€佸洓纾烽吀浜岄笩鑻凤紙GP4G锛屾按瑙i噴鏀続TP锛変箣绫荤殑鐗╄川锛屽彲浠ユ按瑙i噴鏀捐兘閲忥紝浣嗘槸锛屽洜涓虹粏鑳炲唴鏈潵灏辨湁瓒冲鐨凙TP锛岄櫎闈炲叾娈嬪熀琚敤鏉ュ悎鎴愬叾浠栫墿璐紝鍚﹀垯锛屾病蹇呰娣诲姞銆?/p>
闈炵粏鑳炲惛鏀讹紝鍒欐槸閫氳繃鍋滅暀鍦ㄧ粏鑳炲鍩鸿川涓紝鎴栭€氳繃鍒烘縺缁嗚優鑶滀笂鐨勭硸铔嬬櫧鎴栭€氳繃璋冪悊缁嗚優澶栧熀璐ㄥ钩琛$殑鏂瑰紡锛屽疄鐜颁績杩涙垨璋冭В缁嗚優鐨勫悎鎴愪笌鍒嗘硨锛涘墠鑰呰姹傛姢鑲ゅ搧涓殑鐗╄川鍏锋湁鐢熺墿娲绘€э紝渚嬪涓€浜涘叿鏈夎皟鎺ф満鍒剁殑缁嗚優鍥犲瓙锛屽悗鑰呬笉闇€瑕佸叿鏈夌敓鐗╂椿鎬э紝渚嬪閫忔槑璐ㄩ吀锛堝皬鍒嗗瓙鍙繘鍏ョ粏鑳烇級銆?/p>
3銆佸浣曟彁楂樼毊鑲ゅ鎶よ偆鍝佺殑鍚告敹鏁堢巼锛?/strong>
鏈瘒鏂囩珷閲岋紝杩欓儴鍒嗗唴瀹规墠鏄洿澶氫汉鎯崇湅鐨勶紝瑕佹彁楂樼毊鑲ゅ鎶よ偆鍝佺殑鍚告敹鏁堟灉锛屼富瑕侀€氳繃鎶よ偆鍝佹湰韬厤鏂广€佷娇鐢ㄦ柟寮忕敋鑷抽厤鍚堝叾浠栨姢鑲ゆ柟寮忚繖涓夌鏂瑰紡銆?/p>
锛?锛夋姢鑲ゅ搧鏈韩鐨勯厤鏂?/strong>
鎶よ偆鍝佺殑閰嶆柟浣撶郴鏃犲涔庢补鍖呮按鍜屾按鍖呮补涓ょ锛屾棤璁哄摢绉嶄綋绯伙紝鍒嗘暎鍒扮毊鑲や笂锛屼竴閮ㄥ垎鍙繘鍏ュ埌娴呭眰鐨勮璐ㄧ粏鑳炲唴锛屼竴閮ㄥ垎鍒欒繘鍏ョ粏鑳炲鍩鸿川涓彂鎸ヤ綔鐢紝杩樻湁涓€閮ㄥ垎鍊熷姪鍏堢粏鑳炲鍩鸿川鍐嶈鏇存繁灞傜殑缁嗚優閫夋嫨鎬у惛鏀躲€傚洜涓烘姢鑲ゅ搧鎴愬垎澶嶆潅锛岃繕鏈夊緢澶氱墿璐ㄦ槸鏃犳硶杩涘叆鐨偆鍐呯殑锛屼粬浠彲鑳戒細闃荤鎶よ偆鎴愬垎杩涘叆缁嗚優鎴栫粏鑳炲鍩鸿川涓紝杩欏氨闇€瑕佸湪閰嶆柟涓婂仛鍔姏銆?/p>
涓€浜涘ぇ鐗屼骇鍝佷細鍦ㄦ姢鑲ゅ搧涓坊鍔犲嵉纾疯剛銆佽儐鐢鹃唶銆佹鐗╃斁閱囩被鐨勪績娓楀墏锛屽洜涓鸿繖浜涚墿璐ㄥ叿鏈夋棦浜叉按涔熶翰娌圭殑鐗圭偣锛岀悊璁轰笂鏇存湁鍒╀簬鐨偆鍚告敹闇€瑕佽繘鍏ヨ璐ㄥ眰缁嗚優鐨勬姢鑲ゆ垚鍒嗗拰闇€瑕佽繘鍏ユ繁灞傜粏鑳炵殑娌规憾鎬ф姢鑲ゆ垚鍒嗐€傚疄闄呬笂锛屽嵆渚挎病鏈夋惌閰嶅悎閫傜殑鎶よ偆鎴愬垎锛屼娇鐢ㄨ繖浜涙湰鏉ュ氨鍏锋湁鑹ソ涔冲寲鎬ц兘鐨勪績娓楀墏鐨勬姢鑲ゅ搧锛屽湪浣跨敤鎰熶笂涔熼兘涓嶄細寰堝樊锛屾棦鏈変繚婀夸綔鐢紝杩樻湁閫忔皵銆?/p>
锛?锛夋秱鎶逛範鎯?/strong>
涔虫恫銆侀潰闇溿€佺敋鑷抽儴鍒嗙簿鍗庢姢鑲ゅ搧鎿﹀湪鑴镐笂锛屽鏋滃彧鏄畝鍗曡鐩栧湪鐨偆琛ㄩ潰锛屽洜涓哄叾浠栨垚鍒嗙殑闃婚殧鐢氳嚦鍖呰9锛岃澶氭姢鑲ゆ垚鍒嗗緢闅捐缁嗚優鍜岀粏鑳炲鍩鸿川鍚告敹锛屽鏋滃姞浠ュ弻鎵嬫寜鎽╋紝鍦ㄦ満姊板鍔涚殑浣滅敤涓嬶紝涓嶄粎璁╂姢鑲ゅ搧鏇村潎鍖€鏈嶅笘鍦拌鐩栧湪鑴镐笂锛岃繕鏈夊姪浜庢姢鑲ゆ垚鍒嗚繘鍏ョ粏鑳炲唴鎴栨笚閫忓埌缁嗚優澶栧熀璐ㄤ腑锛屽畬鍏ㄤ笉姣斿鐢ㄥ鍏ュ瀷缇庡浠樊銆?/p>
锛?锛夐€傚綋鍘昏璐ㄦ湁鍔╀簬鎶よ偆鎴愬垎杩涘叆鐨偆
鏈変簺浜虹殑瑙掕川灞傛瘮杈冨帤锛屽嵆渚胯璐ㄥ眰褰诲簳澶辨椿鍑嬩骸锛屼篃娌℃湁鍙婃椂寮€瑁傚拰鑴辫惤鐨勭棔杩癸紝鍚按閲忛潪甯稿皯锛岀粏鑳炶啘娌℃湁娴佸姩鎬э紝缁嗚優澶栧熀璐ㄤ篃澶卞幓鐢熺墿鍔熻兘锛屼弗閲嶉樆纰嶇毊鑲ゅ鎶よ偆鎴愬垎鐨勫惛鏀躲€傞€傚害鍘婚櫎澶辨椿鑰佸寲鐨勮璐紝璁╁叿鏈夋甯稿睆闅滃姛鑳戒笖杩樻湁鐢熺墿娲绘€х殑瑙掕川灞傜洿鎺ヨЕ纰版姢鑲ゅ搧锛岀毊鑲ゅ惛鏀舵姢鑲ゆ垚鍒嗙殑鏁堢巼涔熶細澶уぇ鎻愬崌銆?/p>
瓒呭井璺濋暅澶翠笅瑙掕川灞傜姸鎬侀潪甯稿ソ鐨勭毊鑲?/p>
鏈夌殑浜烘彁鍒颁娇鐢ㄨ倢搴曟恫锛屽疄闄呬笂锛岃倢搴曟恫涔熸槸闇€瑕佹帴瑙﹀埌鏈夌敓鐗╂椿鎬х殑浠峰€煎眰鎵嶄細鏈夋晥锛岀敤鍦ㄥ交搴曞け娲荤殑瑙掕川灞備笂锛屼緷鐒朵笉浼氬鐨偆鍚告敹鎶よ偆鍝佹病浠€涔堜綔鐢ㄣ€?/p>
鐗堟潈澹版槑锛?/strong>鏈瘒鏂囩珷鏂囧瓧鍐呭涓恒€愰瓟濂冲績缁忋€戝師鍒涳紝棣栧彂浜庝粖鏃ュご鏉★紝鏈粡鍏佽锛屼弗绂佷换浣曞舰寮忕殑杞浇銆傚浘鐗囨潵婧愪簬缃戠粶锛屼镜鍒犮€?/p>
鐨偆鍚告敹鎶よ偆鍝佽惀鍏伙紝涓嶅彧鏄粏鑳炲惛鏀舵墠鏈夌敤,鐨偆鑳藉惛鏀惰惀鍏绘垚鍒嗗悧
馃崏浠庣毊鑲ょ殑瑙掑害鐪嬶紝鏁忔劅鑲岀殑鐨偆锛屽拰鏅€氱毊鑲ゅ埌搴曟湁浠€涔堝尯鍒?
鏈川鐨勬潵璇达紝灏辨槸鐨偆灞忛殰鍙楁崯銆?br/>杩欓噷闈㈠氨鍖呮嫭寰堝鍐呭鍟︼紝姣斿缁嗚優闂磋剛璐ㄧ己澶憋紙绁炵粡閰拌兒銆佽儐鍥洪唶绛夛級锛屽ぉ鐒朵繚婀垮洜瀛愮己灏戯紝鎴栬€呰璐ㄥ眰澶杽绛夌瓑銆?br/>鍙﹀锛屽鐣屽埡婵€浜х敓鐨勭値鐥囦互鍙婄缁忓姛鑳界殑鏁忔劅锛岄兘浼氳鐨偆浜х敓鍚勭鐥囩姸锛岀被浼肩孩鐑偪鐥涳紝閮芥槸鐨偆鍦ㄦ眰鏁戙€?br/>馃崏鎴戝弽姝d竴鐩村缓璁紝涓€鏃︽湁鐥囩姸灏卞紑濮嬬潃鎵嬭В鍐筹紝涓嶈鎷栵紝鍚﹀垯杩欐晱鎰熻倢瑕佷即闅忓緢闀挎椂闂淬€傛兂鐢ㄤ粈涔堢寷鑽姢鑲わ紝鏀瑰杽鐨偆鐘跺喌锛屽氨鍏ㄩ儴娉℃堡锛屽厛鏁戝啀璋堟敼鍠勩€?br/>
銆愰偅浠€涔堟牱鐨勪骇鍝佹墠鏄晱鎰熻倢鑲ら渶瑕佺殑锛熺埍缇庝附涔熸湁鍑犱釜灏忓皬鐨勫缓璁粰澶у銆?br/>鈶犲厛瑙e喅鐭棝锛屽啀瑙e喅闀跨棝
浣跨敤涓€浜涜垝缂撶殑鎴愬垎锛屾妸鐥囩姸鍘嬪埗浣忥紝鐭ュ悕鐨勭孩娌¤嵂閱囥€侀噾缂曟鎻愬彇鐗╃瓑鎶楃値鎴愬垎銆?br/>鈶$敤鍚堥€傜殑鎴愬垎锛屾潵淇鐨偆灞忛殰
鐥囩姸鍘嬩綇浜嗭紝灏卞彲浠ョ敤淇灞忛殰鐨勬垚鍒嗕簡锛岀毊鑲や腑澶╃劧瀛樺湪鐨勫氨鏄渶濂界殑銆傚儚澶╃劧淇濇箍鍥犲瓙閲岄潰鐨勫翱绱犮€佷钩閰搞€佹皑鍩洪吀銆丳CA閽犵瓑锛屼竴浜涙补婧舵€х殑鎴愬垎锛屽绁炵粡閰拌兒銆佽剛鑲吀绛夛紝涔熷悎閫傘€?br/>鈶㈠熀纭€淇濇箍瑕佸仛濂?br/>鍩虹淇濇箍鎴愬垎锛屾瘮濡備紶缁熺殑娌硅剛鍟婏紝鐢樻补鍟婏紝澶ч儴鍒嗘姢鑲ゅ搧閮芥湁锛岃繖涓€鐐瑰畬鍏ㄦ病浠€涔堥棶棰橈紝鍙笉杩囬渶瑕佹敞鎰忥細鍦ㄨ繖鏍风殑瀛h妭锛屼骇鍝佷笉鑳藉お娌硅吇銆?br/>鈶f敞鎰忛绮惧拰闃茶厫鍓?br/>杩欎袱澶у紩璧风毊鑲ゅ埡婵€鐨勬垚鍒嗭紝鑳戒笉鐢ㄥ氨涓嶇敤锛岃兘灏戠敤灏卞皯鐢ㄣ€?/div>
添加微信免费咨询